آیا جراحی ایمپلنت عوارض دارد؟

عوارض جراحی ایمپلنت دندان را می‌توان به دو گروه اصلی تقسیم کرد: کوتاه‌مدت و بلندمدت. عوارض کوتاه‌مدت معمولا در روزها یا هفته‌های نخست رخ می‌دهند و شامل درد، تورم، کبودی، خونریزی خفیف و در برخی موارد عفونت هستند که اغلب با دارو و رعایت بهداشت کنترل می‌شوند. عوارض بلندمدت ممکن است پس از ماه‌ها یا سال‌ها بروز کنند و جدی‌تر باشند؛ از جمله پری‌ایمپلنتیت (التهاب اطراف ایمپلنت)، پس‌زدن ایمپلنت، آسیب به عصب، مشکلات سینوسی یا شل شدن ایمپلنت. انتخاب جراح متخصص، رعایت دقیق مراقبت‌های پس از جراحی و حفظ بهداشت دهان می‌تواند احتمال این مشکلات را به میزان چشمگیری کاهش دهد.

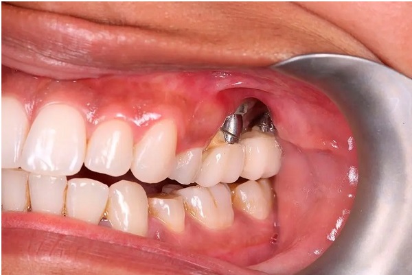
عوارض جراحی ایمپلنت

عوارض جراحی ایمپلنت کدامند؟

جراحی ایمپلنت دندان یکی از بهترین روش‌ها برای جایگزینی دندان‌های از دست رفته است. این روش می‌تواند لبخند شما را طبیعی‌تر کند و به سلامت دهان و دندانتان کمک زیادی کند. البته همیشه همه چیز طبق برنامه پیش نمی‌رود و گاهی ممکن است ایمپلنت با مشکل روبه‌رو شود. در چنین شرایطی فرد ممکن است درد، ناراحتی یا حتی نیاز به درمان‌های اضافی و پرهزینه داشته باشد. اما چه عواملی باعث خراب شدن ایمپلنت می‌شود و چطور می‌توان از این مشکلات جلوگیری کرد؟ در این مطلب، رایج‌ترین خطاها و نکات مهم برای داشتن یک درمان موفق را با هم مرور می‌کنیم.

ایمپلنت دندان دکتر هومن نوایی

کلمات کلیدی:
کاشت ایمپلنت دندان
جراح فک و صورت، هزینه ایمپلنت، دکتر هومن نوایی

چطور می‌فهمیم جراحی ایمپلنت دندان موفق نبوده است؟

جراحی ایمپلنت دندان ناموفق زمانی رخ می‌دهد که این درمان درست پیش نرود یا باعث مشکل شود. در حالت عادی، ایمپلنت برای جایگزینی دندان از دست رفته استفاده می‌شود. در این روش یک پایه فلزی (معمولا تیتانیوم) داخل استخوان فک قرار می‌گیرد تا مانند ریشه دندان عمل کند و بعد تاج دندان روی آن نصب می‌شود. اگر این روند به‌خوبی انجام نشود، ممکن است ایمپلنت شکست بخورد یا به لثه و دندان‌های اطراف آسیب بزند. نشانه‌های رایج ایمپلنت ناموفق شامل درد، ورم، لق شدن پایه یا ایجاد عفونت در لثه است.

نشانه‌های ایمپلنت دندان ناموفق کدامند؟

شناسایی زودهنگام مشکلات جراحی ایمپلنت می‌تواند جلوی عوارض جدی‌تر را بگیرد. برخی از مهم‌ترین علائم عبارتند از:

  •       درد شدید یا طولانی‌مدت: کمی درد بعد از جراحی طبیعی است، اما درد مداوم می‌تواند نشانه قرارگیری نادرست ایمپلنت باشد.
  •  شل شدن ایمپلنت: ایمپلنت سالم باید ثابت باشد. حرکت یا لق شدن آن می‌تواند به دلیل از دست رفتن استخوان یا جایگذاری اشتباه رخ دهد.
  • عفونت: قرمزی، ورم یا ترشح چرک اطراف ایمپلنت نشانه عفونت است و در صورت بی‌توجهی مشکلات بیشتری ایجاد می‌کند.
  • کاهش استخوان فک: ایمپلنت ناموفق ممکن است باعث تحلیل استخوان اطراف شود و استحکام فک را کاهش دهد.
  •  عقب‌نشینی لثه: در صورت قرارگیری نادرست، لثه ممکن است پایین برود و فلز ایمپلنت نمایان شود.

در صورت مشاهده این علائم، باید سریعاً به جراح فک و صورت خود مراجعه کنید.

علل شایع در ناموفق بودن ایمپلنت‌های دندانی کدامند؟

جراحی ایمپلنت دندان در بیشتر موارد موفقیت‌آمیز هستند، اما گاهی به دلایل مختلف با شکست مواجه می‌شوند. مهم‌ترین عوامل عبارتند از:

  1. تجربه کم دندانپزشک، مهارت و دانش جراح نقش زیادی در موفقیت درمان دارد. انجام ایمپلنت توسط فرد بی‌تجربه می‌تواند احتمال خطا و مشکلات بعدی را افزایش دهد.
  2. کمبود استخوان کافی در فک، برای نگهداری ایمپلنت، استخوان محکم و کافی لازم است. در صورت ضعف یا نازکی استخوان، ایمپلنت ممکن است به درستی جوش نخورد.
  3. جایگذاری نادرست، اگر ایمپلنت در زاویه، عمق یا محل مناسب قرار نگیرد، ممکن است باعث تحلیل لثه، از دست رفتن استخوان یا لق شدن ایمپلنت شود.
  4. عفونت و بهداشت ضعیف دهان، بی‌توجهی به رعایت بهداشت دهان می‌تواند باعث عفونت اطراف ایمپلنت (پری‌ایمپلنتیت) شود که در صورت پیشرفت، به شکست ایمپلنت می‌انجامد.

حساسیت به تیتانیوم، اگرچه بسیار نادر است، اما برخی افراد به فلز تیتانیوم حساسیت دارند که می‌تواند موجب التهاب، ناراحتی یا پس‌زدن ایمپلنت شود.

اگر جراحی ایمپلنت دندان شما دچار مشکل شد، چه باید کرد؟

در صورت مشاهده علائم خرابی ایمپلنت، اقدام سریع اهمیت زیادی دارد تا از بدتر شدن شرایط جلوگیری شود. مراحل اصلی شامل موارد زیر است:

1. مراجعه به متخصص جراحی فک و صورت و دهان، در اولین قدم به یک جراح متخصص ایمپلنت مراجعه کنید. او می‌تواند وضعیت ایمپلنت را بررسی کرده و بهترین راهکار درمانی را پیشنهاد دهد.

2. انجام تصویربرداری، عکس‌برداری با اشعه ایکس یا سی‌تی اسکن کمک می‌کند تا مشخص شود آیا ایمپلنت لق شده، شکست خورده یا استخوان اطراف تحلیل رفته است.

3. پیگیری درمان مناسب، در صورت خرابی ایمپلنت، گاهی لازم است آن برداشته شود. در برخی موارد نیز قبل از جایگذاری ایمپلنت جدید، پیوند استخوان انجام می‌شود.

چطور از خراب شدن ایمپلنت دندان جلوگیری کنیم؟

با رعایت چند نکته ساده می‌توان احتمال عوارض جراحی ایمپلنت را کاهش داد و از مشکلات جدی جلوگیری کرد:

1. انتخاب جراح فک و صورت باتجربه، پیش از درمان، درباره تخصص و تجربه جراح تحقیق کنید و مطمئن شوید تجربه کافی در کاشت ایمپلنت دارد.

2. بررسی تراکم استخوان، پیش از کاشت، باید وضعیت استخوان فک بررسی شود. در صورت کمبود استخوان، ممکن است نیاز به پیوند استخوان باشد.

3. رعایت بهداشت دهان، مسواک منظم، نخ دندان و مراجعه‌های دوره‌ای به جراح خود برای کنترل وضعیت ایمپلنت ضروری است.

4. پرهیز از سیگار، سیگار روند ترمیم را کند کرده و احتمال عفونت یا شکست ایمپلنت را بالا می‌برد.

جمع‌بندی: چگونه تجربه‌ای موفق در جراحی ایمپلنت دندان داشته باشیم؟

جراحی ایمپلنت دندان یکی از بهترین روش‌ها برای جایگزینی دندان‌های از دست رفته و بازگرداندن لبخند است. اما اگر این درمان به‌درستی انجام نشود، می‌تواند مشکلات جدی به همراه داشته باشد. با انتخاب جراح فک و صورت و دهان باتجربه، رعایت بهداشت دهان و شناسایی زودهنگام نشانه‌های خرابی در ایمپلنت، می‌توان از بسیاری از عوارض جراحی ایمپلنت پیشگیری کرد. پیش از تصمیم‌گیری برای ایمپلنت، حتماً با یک جراح متخصص معتبر مشورت کنید و مطمئن شوید تمام بررسی‌های لازم انجام شده است. اگر قصد کاشت ایمپلنت دارید یا درباره درمان فعلی خود نگران هستید، می‌توانید برای مشاوره رایگان با موبایل پاسخگوی دکتر هومن نوایی تماس بگیرید. هدف ما ارائه ایمن‌ترین و بهترین خدمات دندانپزشکی به شماست.